White Spot Treatment
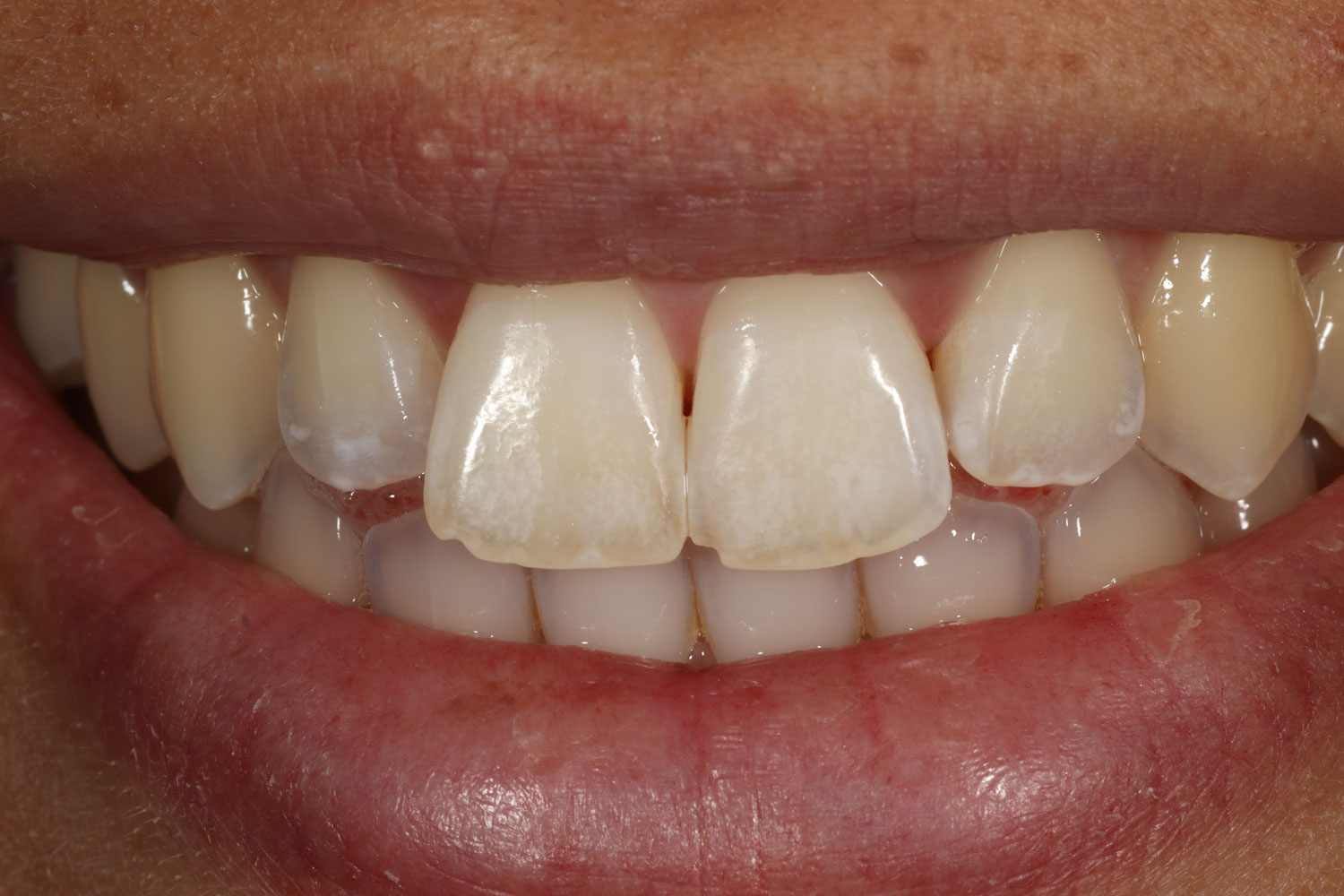
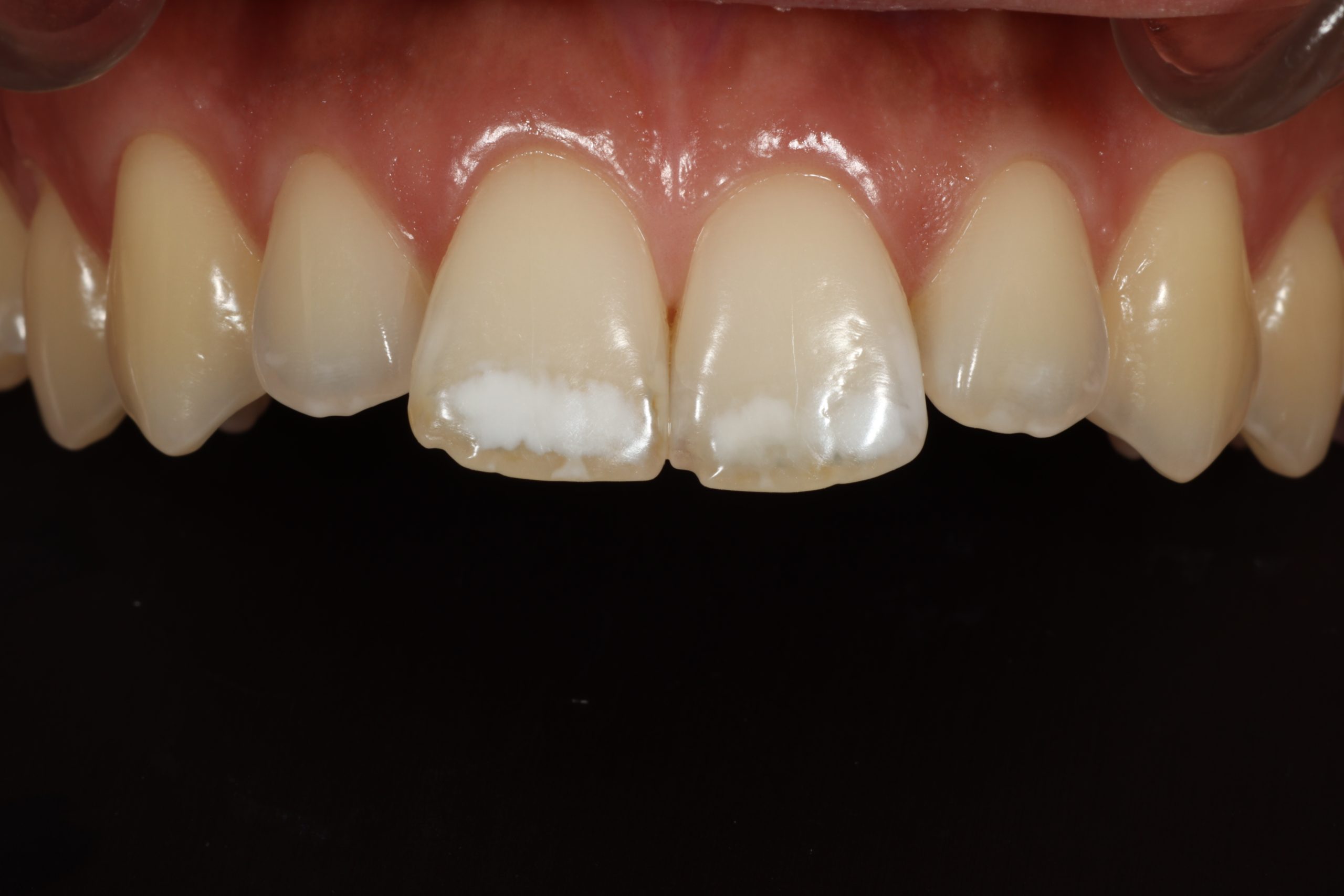
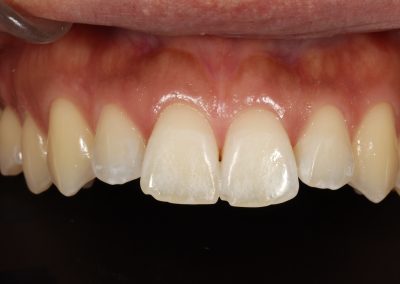
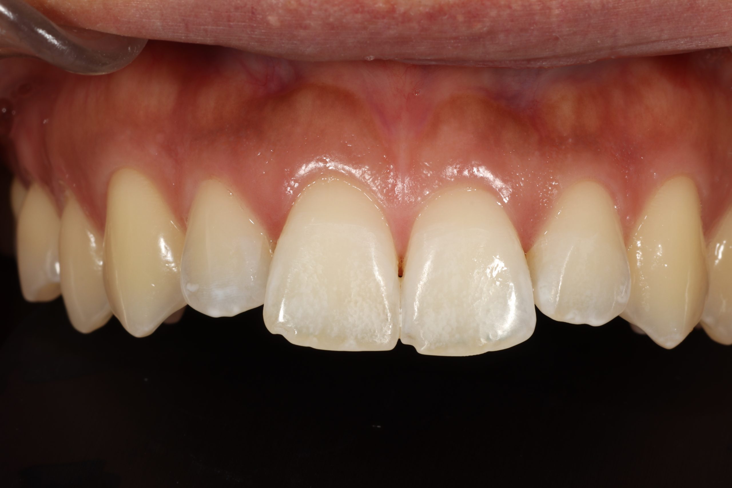
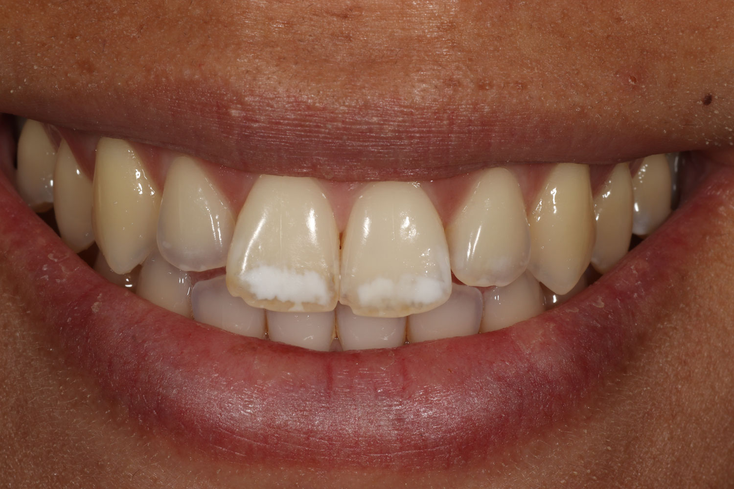
This patient came to us with a common concern: white spots on her teeth that made her self-conscious about her smile. With her wedding just four weeks away, she was searching for a quick and effective solution to feel confident on her big day. She initially asked about veneers, thinking they were the only option for a dramatic improvement.
After evaluating her case, we discussed a much simpler and more conservative approach that would still deliver beautiful results—without the need for drilling, needles, or irreversible treatment.
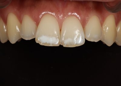
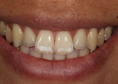
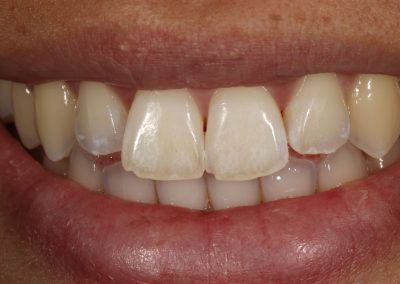
In just one visit, lasting less than 30 minutes, we were able to significantly improve the appearance of her teeth. The white spots were blended seamlessly into the surrounding enamel, creating a more uniform and natural-looking smile. No veneers necessary!
She left our office with a renewed sense of confidence, excited to smile freely in her wedding photos.
It’s always rewarding to help patients feel their best—especially for such a special milestone. Conservative cosmetic dentistry can be both efficient and effective, and we’re proud to offer solutions that prioritize both aesthetics and tooth preservation.

Follow
Phone
Hours
Mon: 9am – 5pm
Tues: 10:30am – 6:30pm
Wed: Closed
Thur: 9am – 5pm
Fri: 9am – 5pm
Address
14982 Sand Canyon Ave
Irvine, CA 92618