Invisalign and Composite Veneers
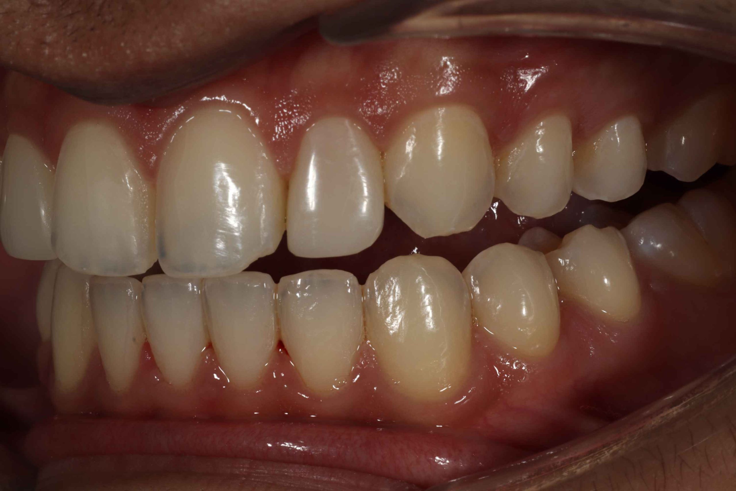
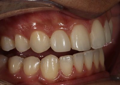
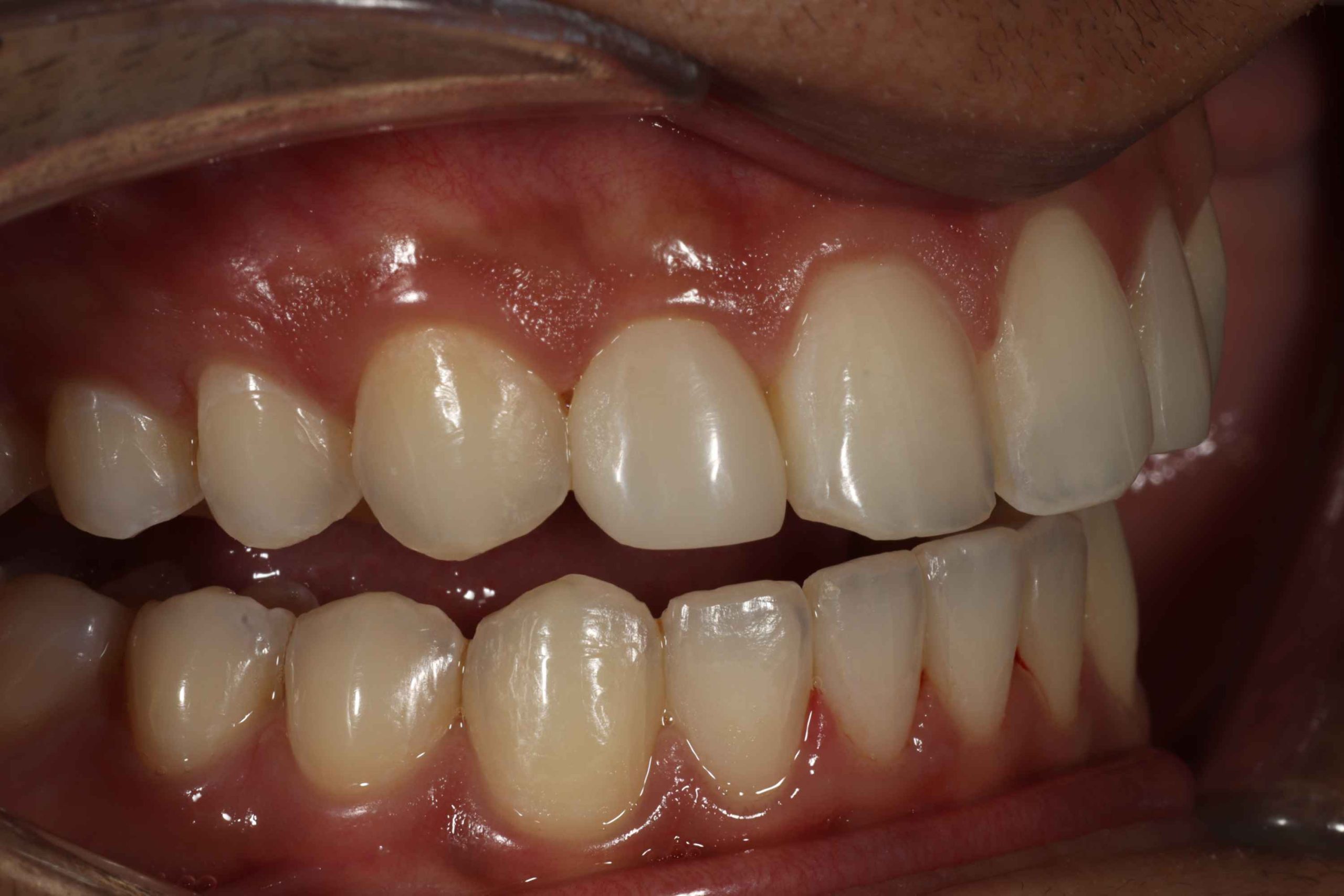
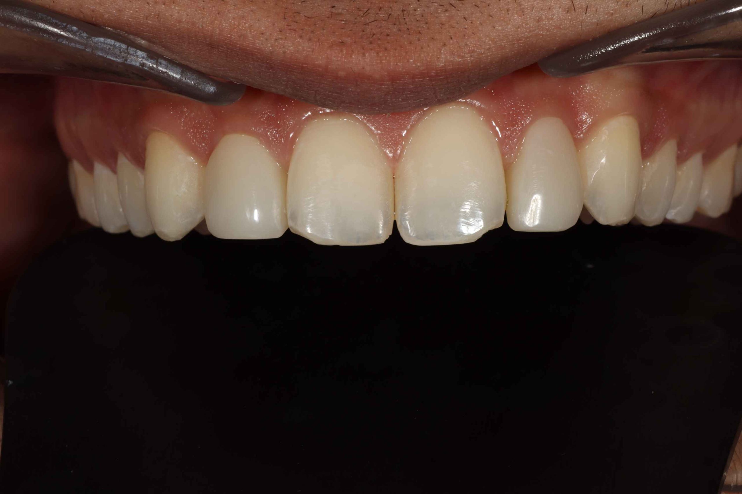
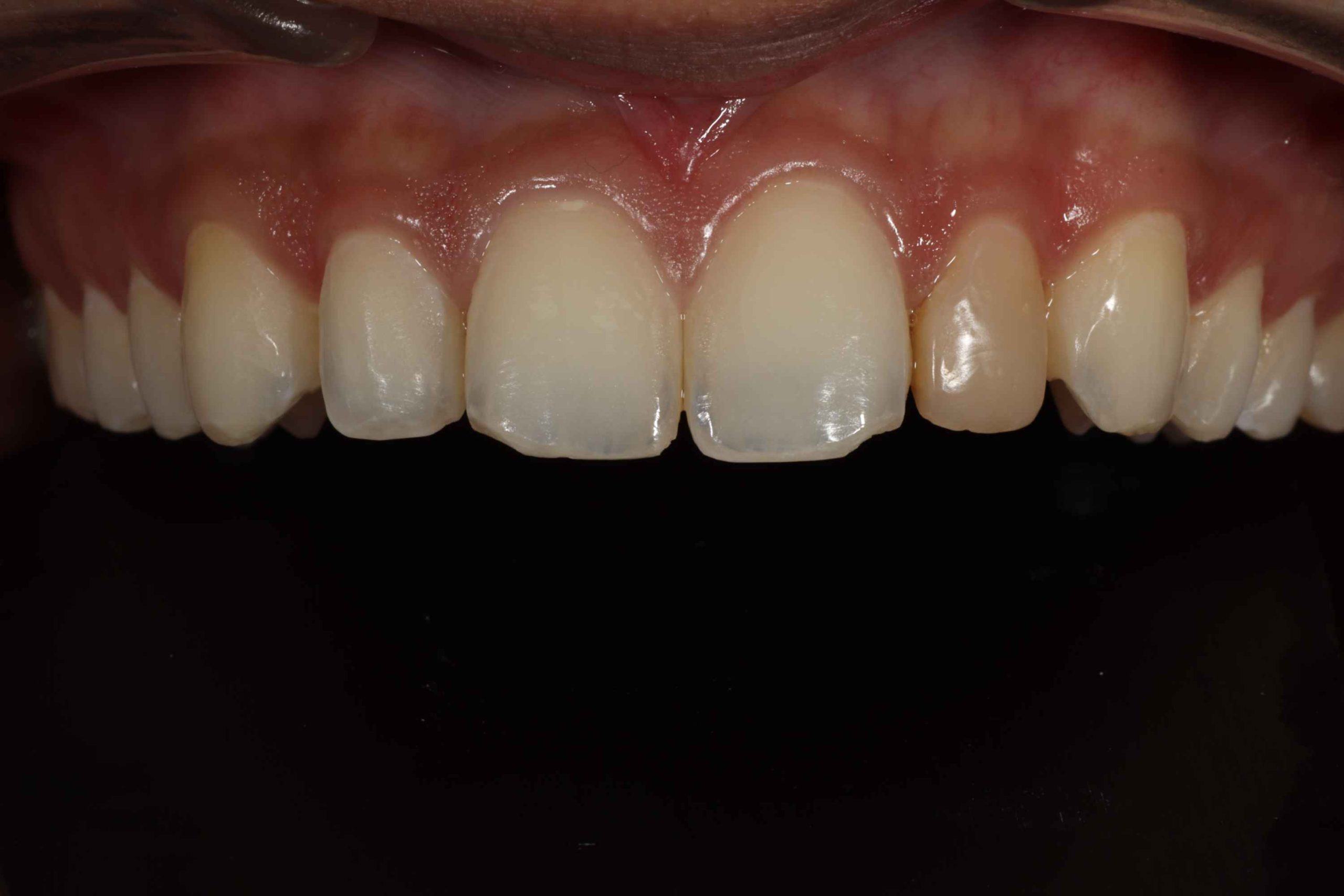
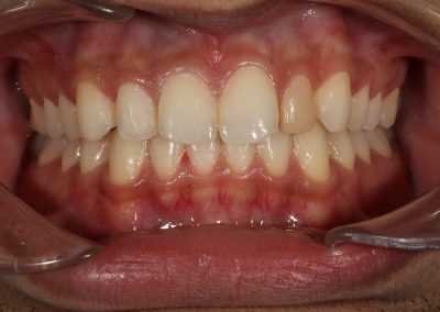
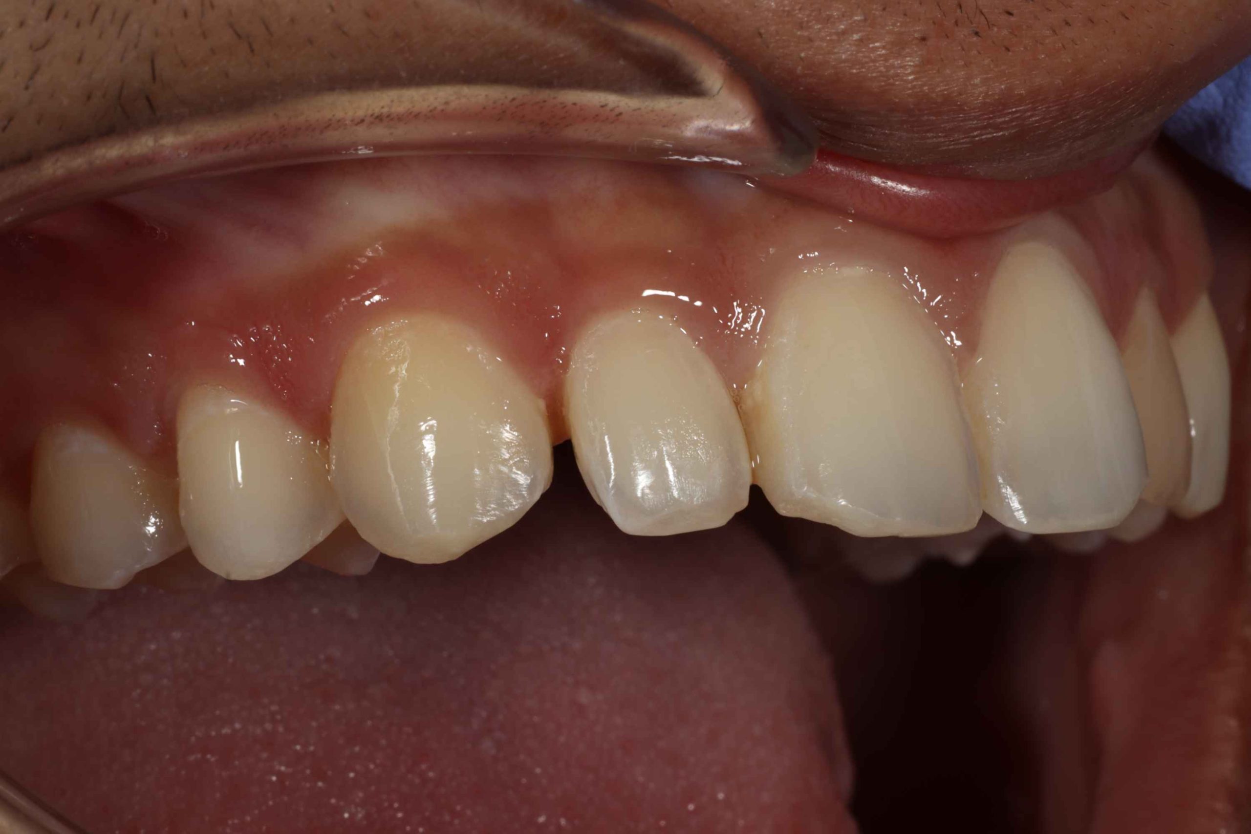
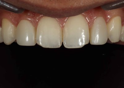
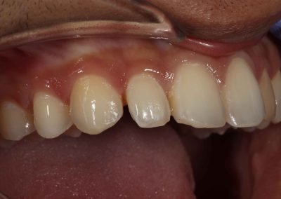
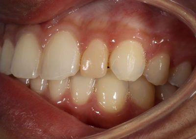
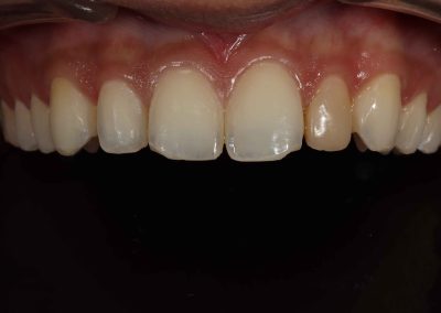
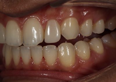
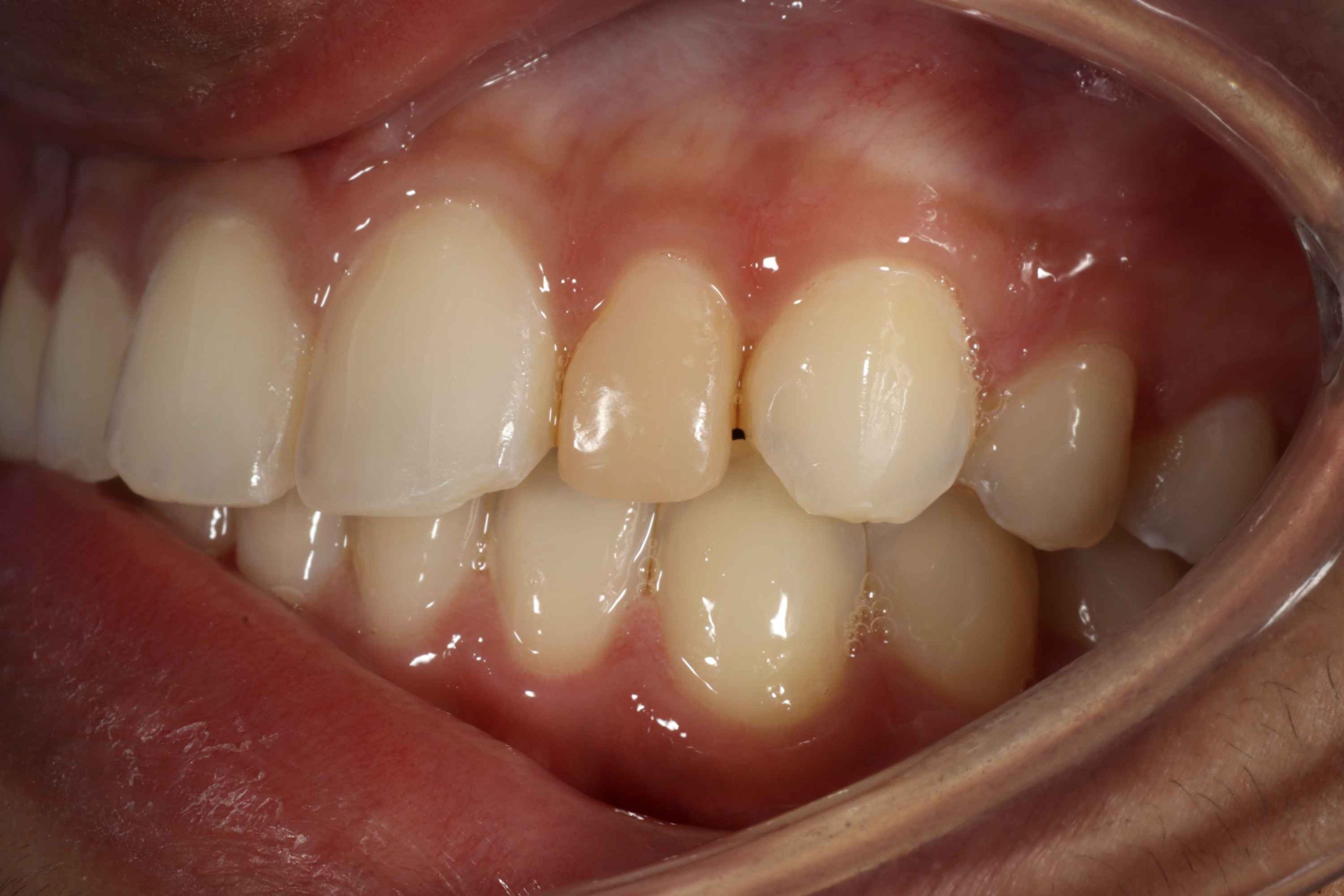
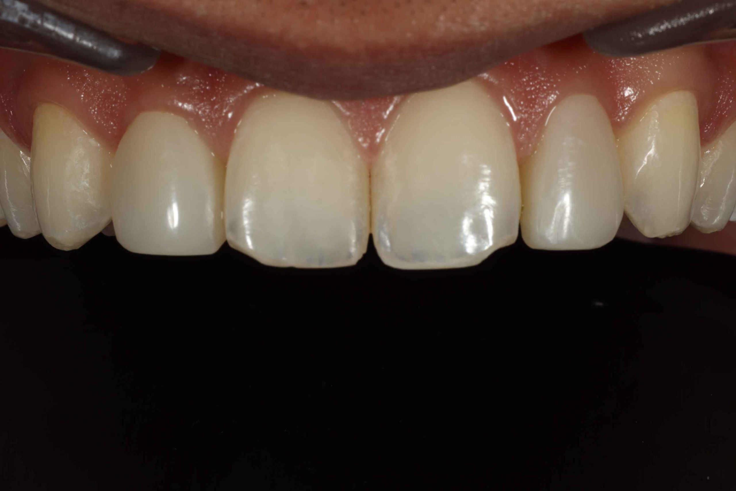
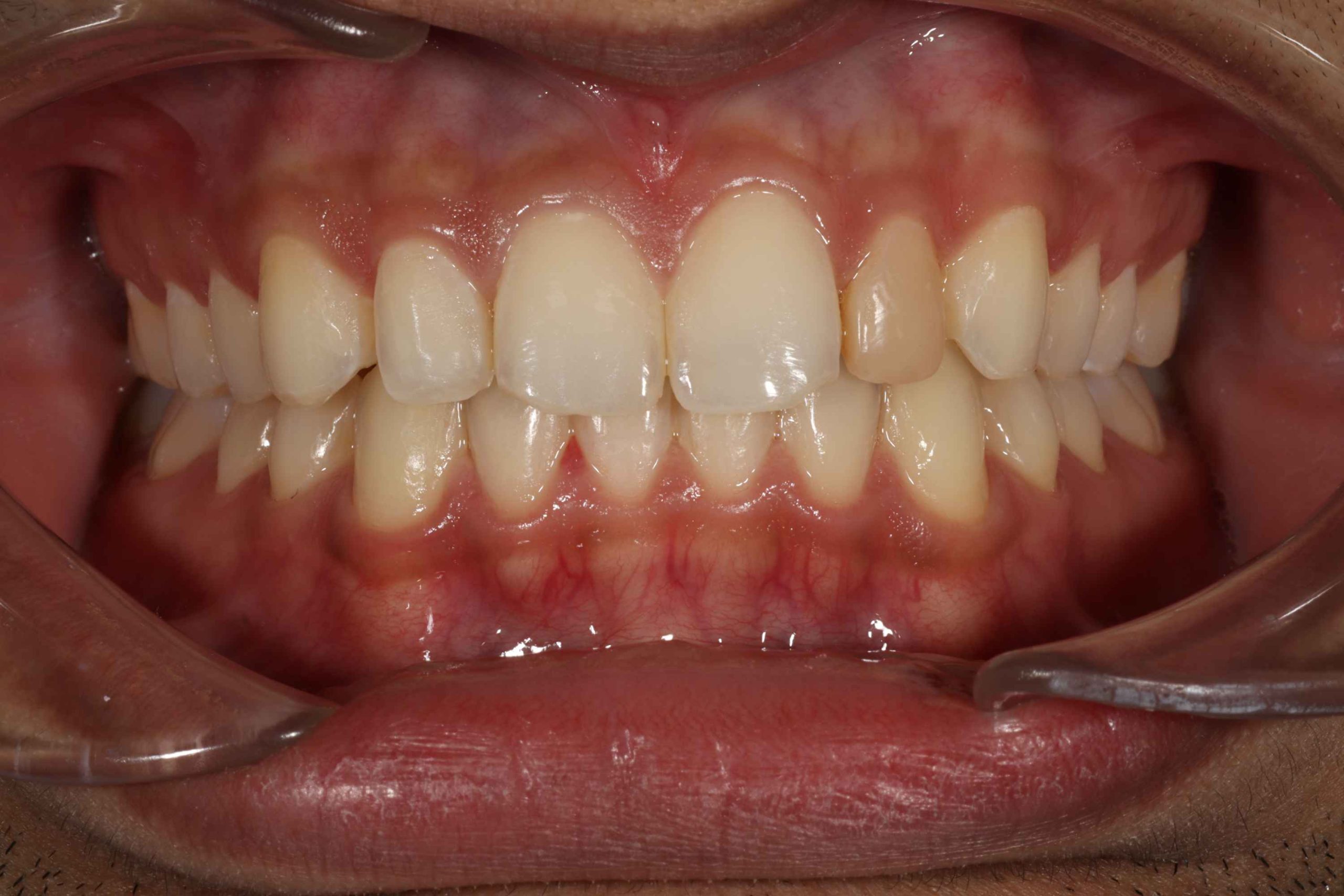
During orthodontic treatment, this patient received a composite veneer that eventually became discolored. Unfortunately, his older brother frequently pointed out the difference in color, which made the patient increasingly self-conscious about his smile.
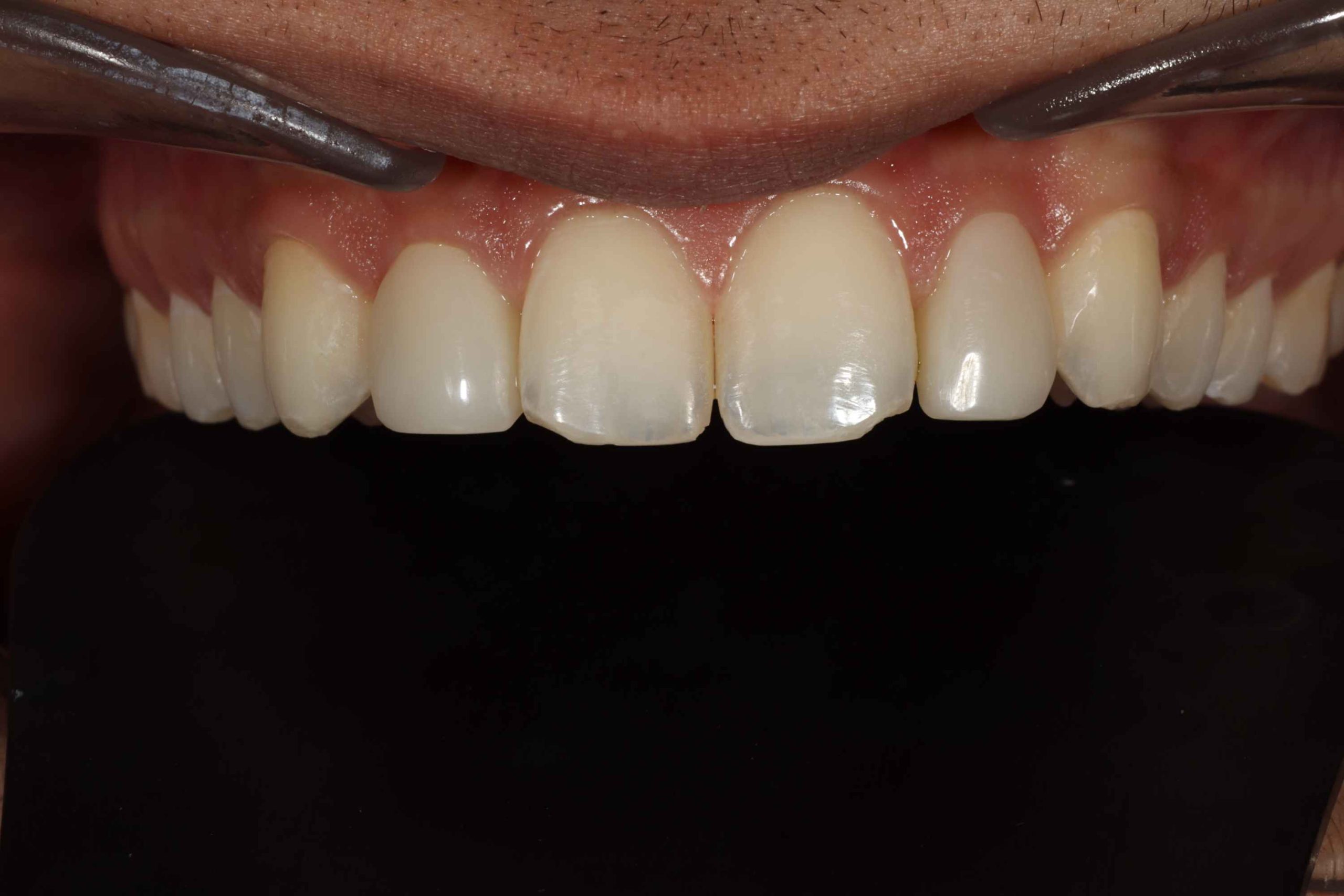
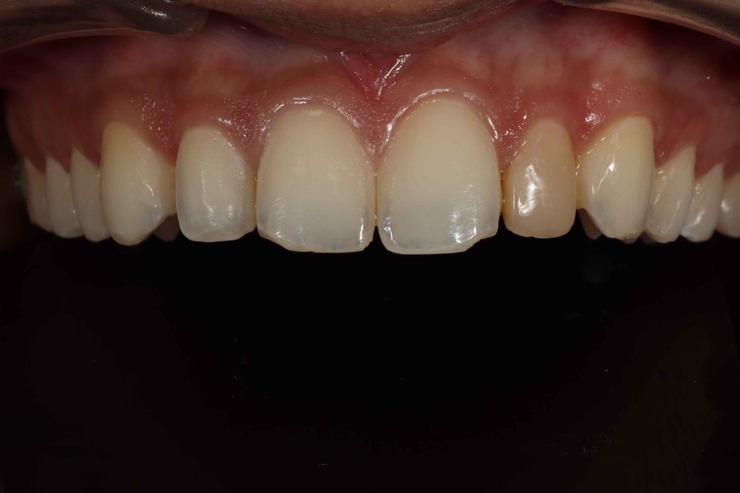
To address these concerns, we placed composite veneers on teeth #7 and #10 to close the space, improve the color and shape, and create better overall esthetic harmony. The result is a more balanced, natural-looking smile.
We’re grateful we had the opportunity to help restore his confidence so he can smile comfortably again.

Follow
Phone
Hours
Mon: 9am – 5pm
Tues: 10:30am – 6:30pm
Wed: Closed
Thur: 9am – 5pm
Fri: 9am – 5pm
Address
14982 Sand Canyon Ave
Irvine, CA 92618