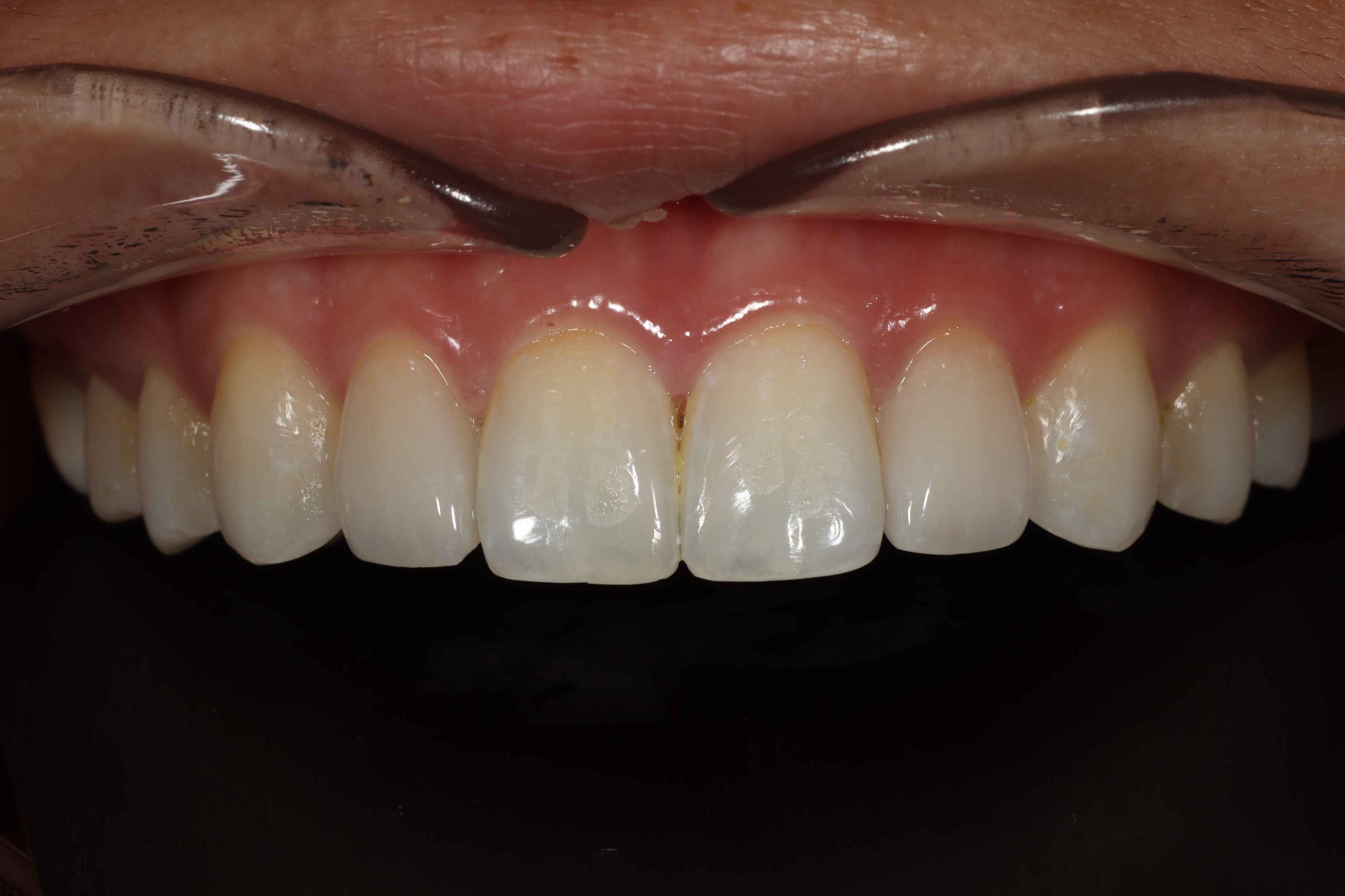
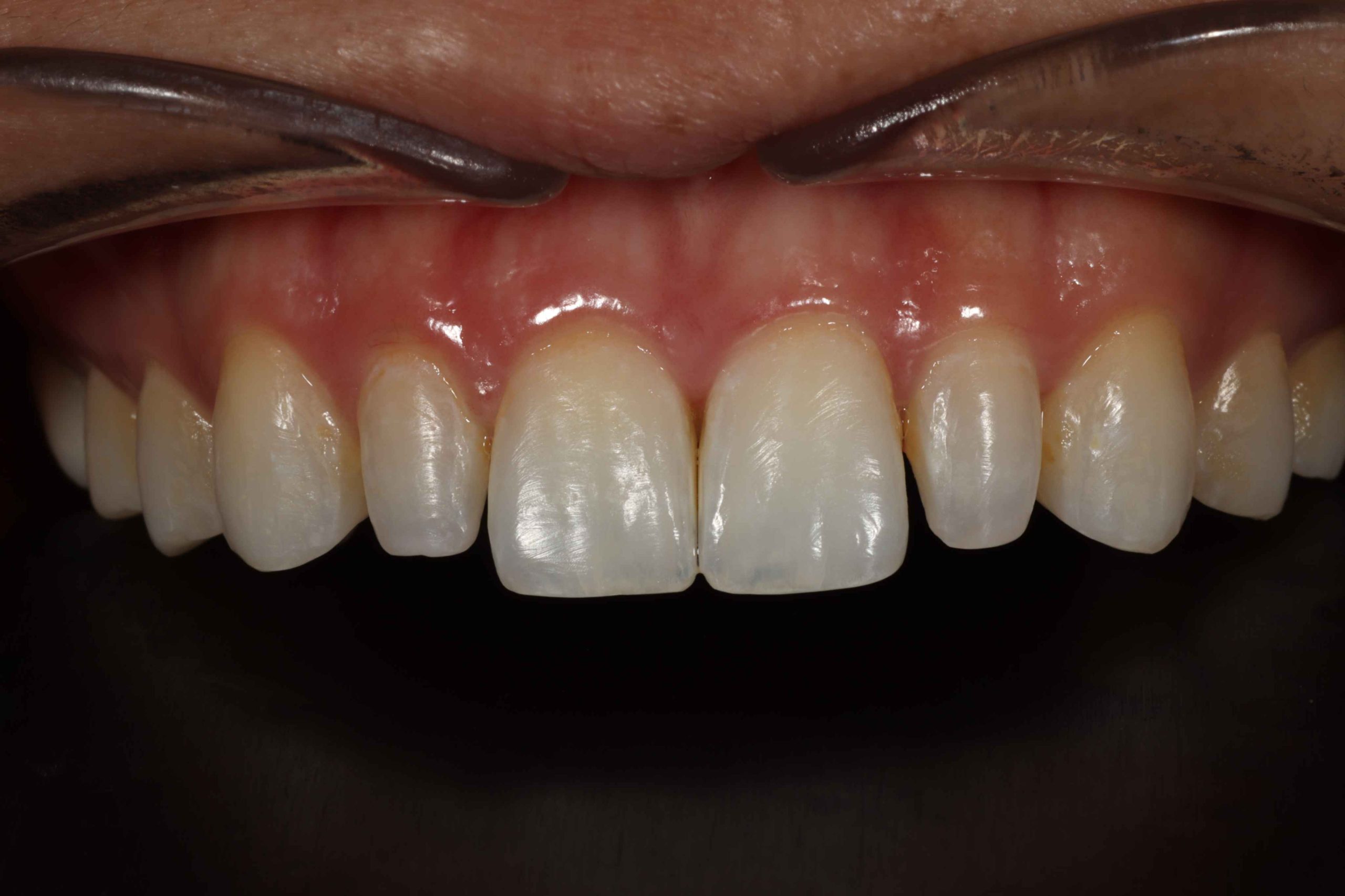
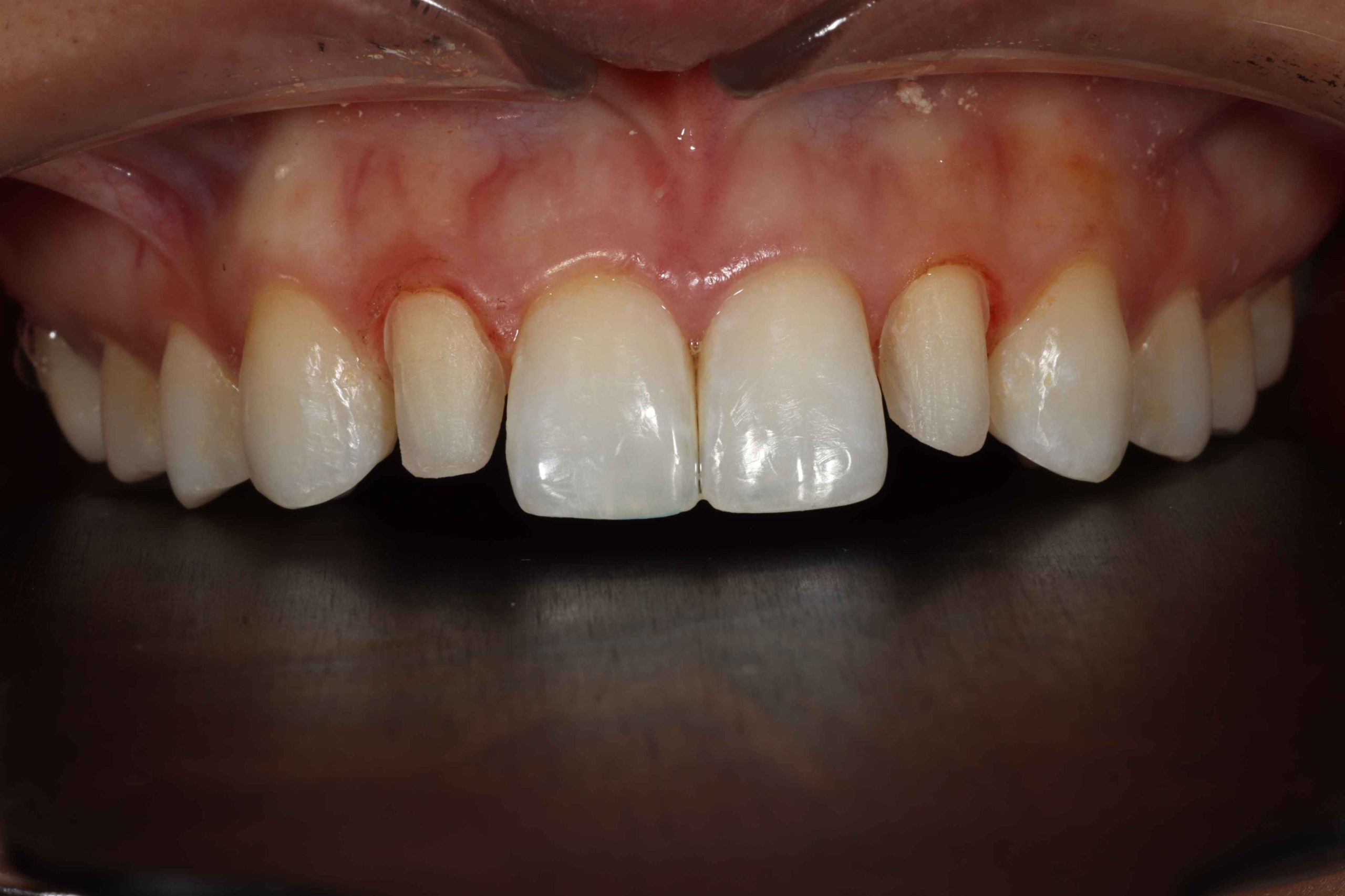
Invisalign and 2 Veneers
Invisalign was utilized to put #7,10 (Lateral Incisors) in just the right position to allow for minimal veneer preparations.

Follow
Phone
Hours
Mon: 9am – 5pm
Tues: 10:30am – 6:30pm
Wed: Closed
Thur: 9am – 5pm
Fri: 9am – 5pm
Address
14982 Sand Canyon Ave
Irvine, CA 92618


