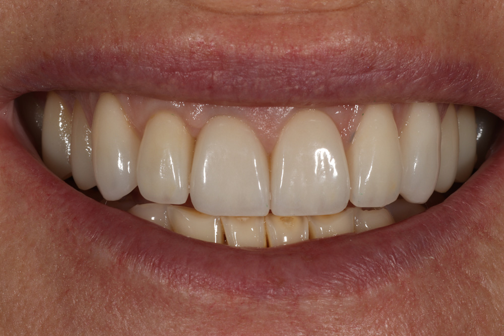
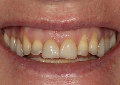
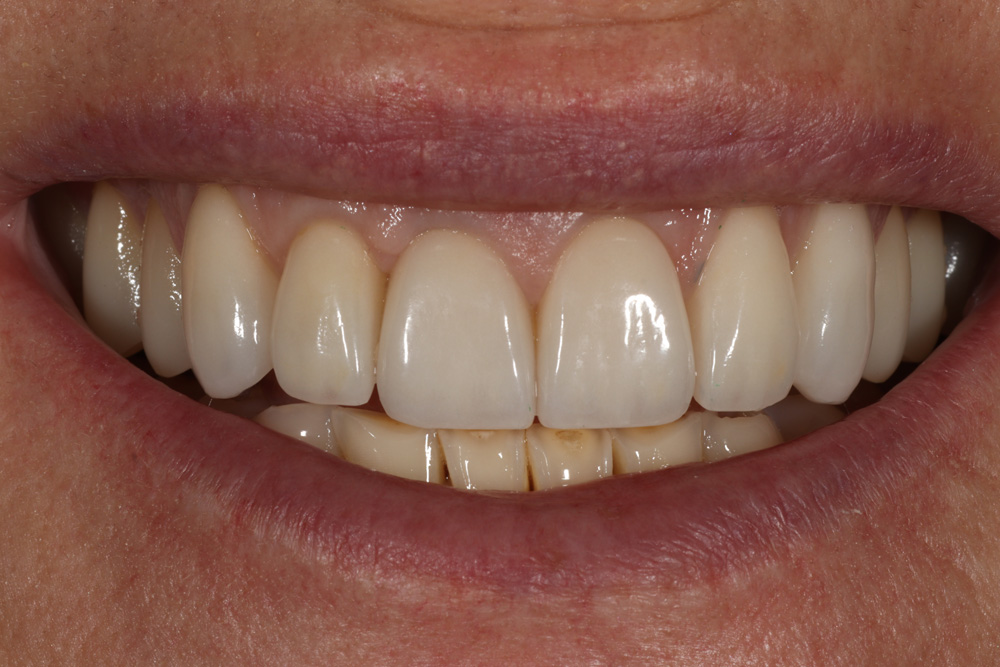
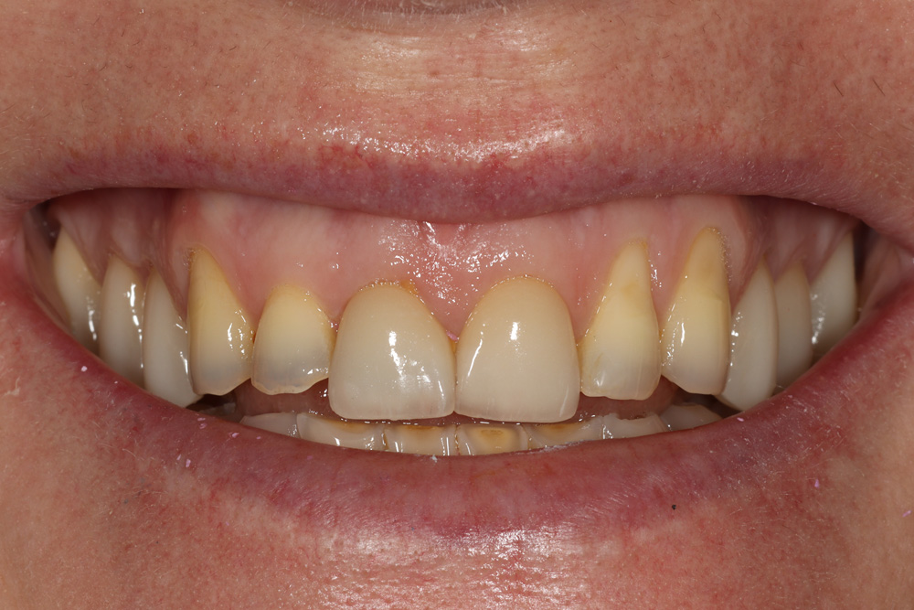
Full-Mouth Reconstruction and Smile Transformation
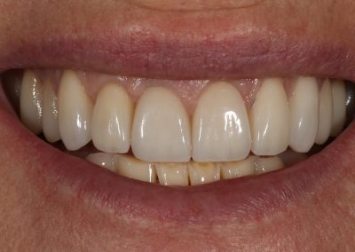
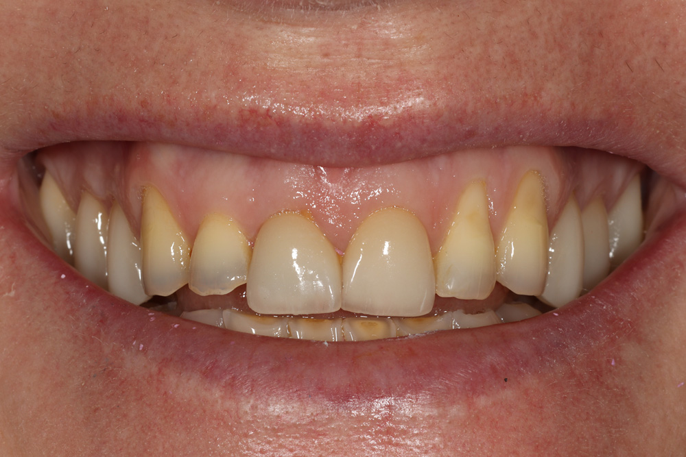
This was truly a life-changing case. Our patient was a severe grinder, and over time, her bite had completely collapsed. To restore both function and aesthetics, we completed a full-mouth smile transformation that included placing crowns on all upper teeth and performing gingival recontouring to correct her gummy smile.
I’ve had the privilege of knowing this patient for over 15 years, and it was incredibly rewarding to help her achieve a healthy, confident smile that reflects her vibrant personality. It was truly an honor to be part of her journey to renewed oral health and confidence.

Follow
Phone
Hours
Mon: 9am – 5pm
Tues: 10:30am – 6:30pm
Wed: Closed
Thur: 9am – 5pm
Fri: 9am – 5pm
Address
14982 Sand Canyon Ave
Irvine, CA 92618