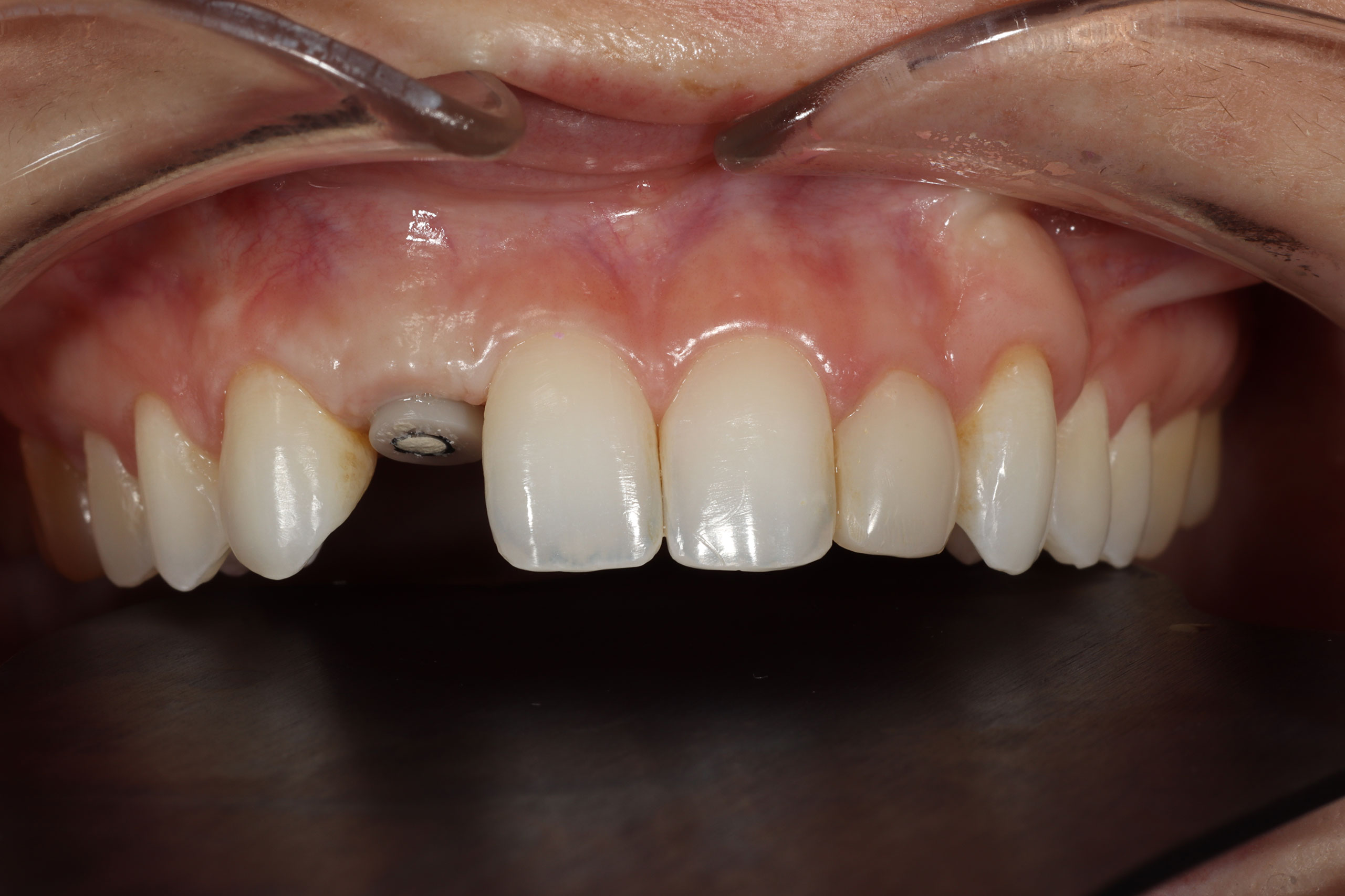
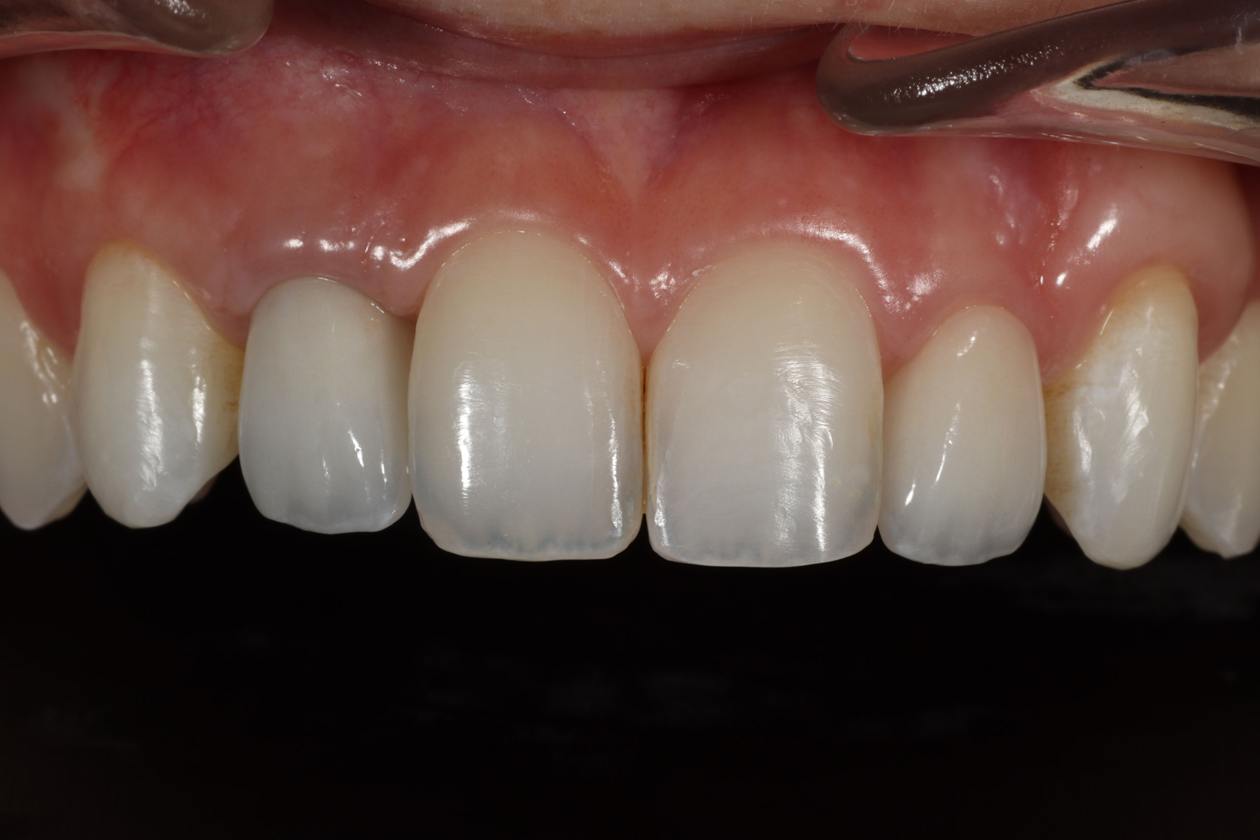
E.Max Ceramic Restoration
Tooth #10 originally had a composite veneer, but achieving that natural, translucent edge can be tricky with composite materials.
For a more lifelike, radiant smile, we upgraded to E.max ceramic restoration on teeth #7 and #10 — known for their strength, beauty, and natural look.
We partner with high-end dental labs to create stunning, customized results that truly elevate your smile.



Follow
Phone
Hours
Mon: 9am – 5pm
Tues: 10:30am – 6:30pm
Wed: Closed
Thur: 9am – 5pm
Fri: 9am – 5pm
Address
14982 Sand Canyon Ave
Irvine, CA 92618