Dental Implants
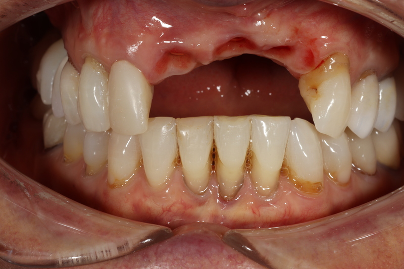
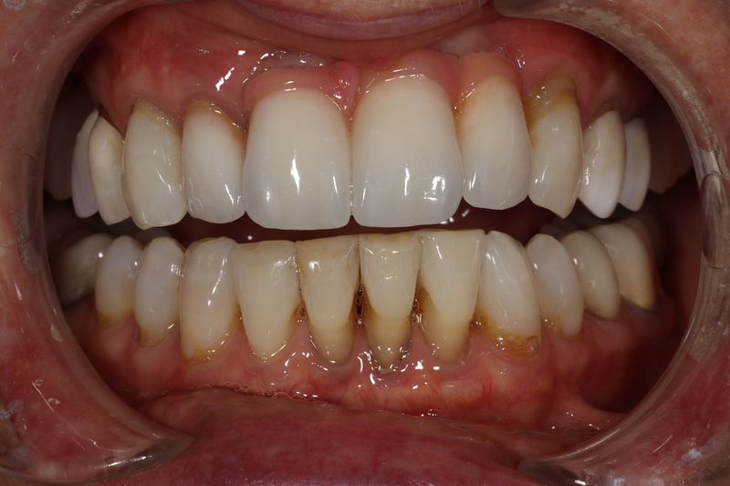
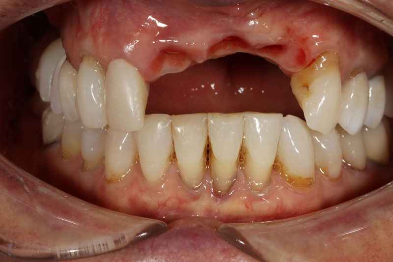
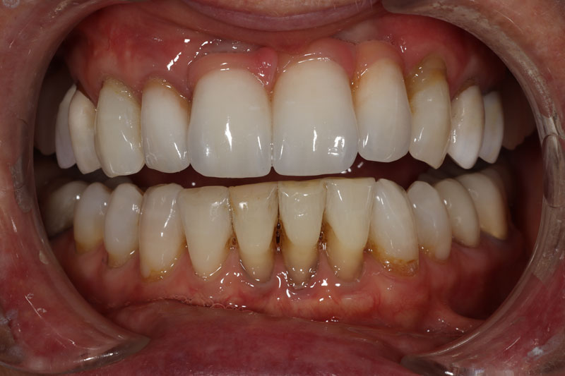
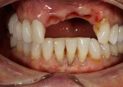
More than three decades after a bicycle accident changed her life, this patient came to us seeking a permanent solution for her front teeth. Over the years, she had endured multiple failing dental bridges, each one falling short of restoring both function and confidence.
Dental implants offered the ideal long-term solution—but this was no straightforward case. Significant loss of bone and gum tissue presented both surgical and esthetic challenges, requiring meticulous planning and advanced restorative techniques.
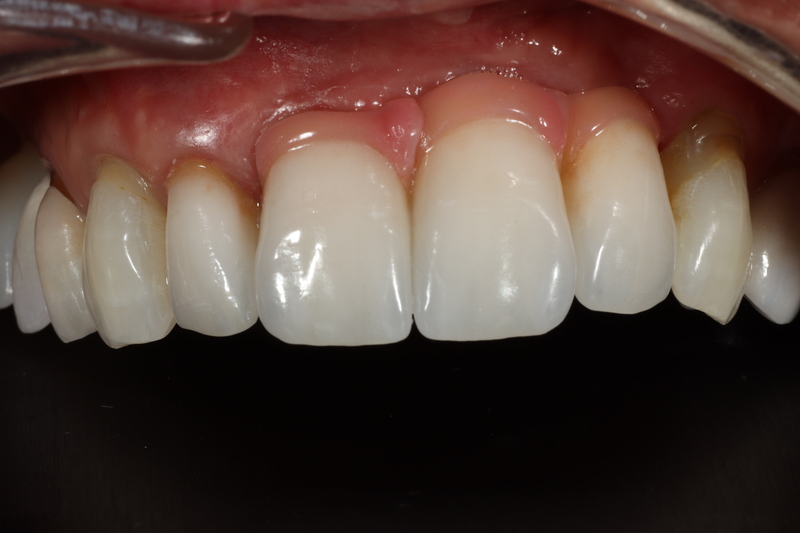
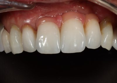
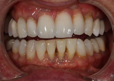
Through a carefully coordinated approach, we were able to rebuild the foundation, restore proper support, and craft a natural, harmonious smile. The result was more than just functional—it was transformative.
For the first time since her college years, she could smile with confidence again.
Cases like this are a powerful reminder of what’s possible with dedication, precision, and a commitment to excellence in dentistry.

Follow
Phone
Hours
Mon: 9am – 5pm
Tues: 10:30am – 6:30pm
Wed: Closed
Thur: 9am – 5pm
Fri: 9am – 5pm
Address
14982 Sand Canyon Ave
Irvine, CA 92618