Dental Crown Replacement
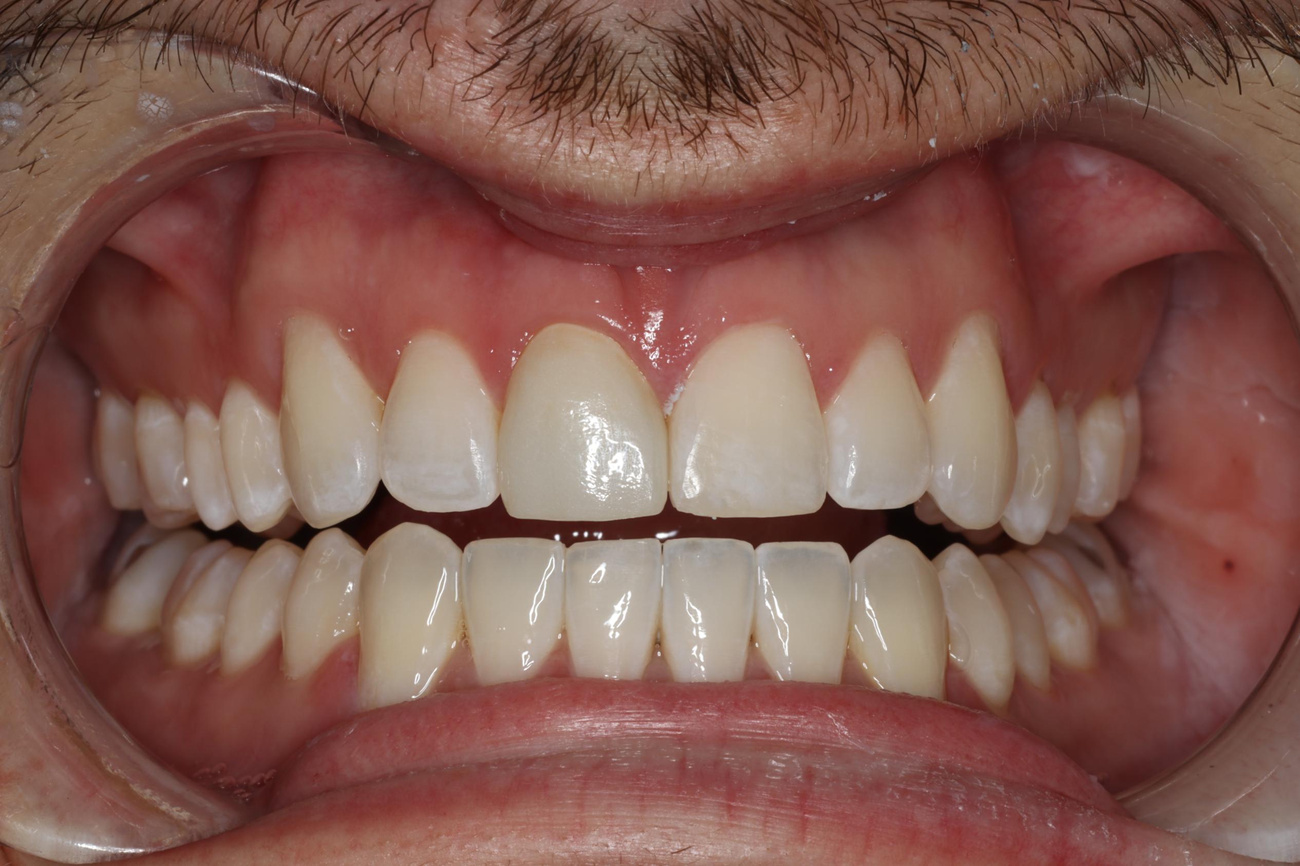
Do you have a front crown that bothers you? We can help. This patient only wanted to replace his one old crown, which he felt was a bad shade match. We were able to fulfill his request and deliver an excellent shade match.
Need a replacement dental crown in Orange County or Irvine? Contact My Dentist Joe for this and a wide variety of cosmetic dentistry treatments, including teeth whitening, dental veneers, composite fillings, and more.

Follow
Phone
Hours
Mon: 9am – 5pm
Tues: 10:30am – 6:30pm
Wed: Closed
Thur: 9am – 5pm
Fri: 9am – 5pm
Address
14982 Sand Canyon Ave
Irvine, CA 92618