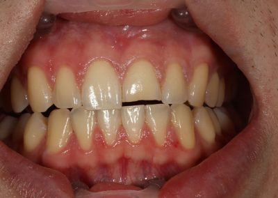
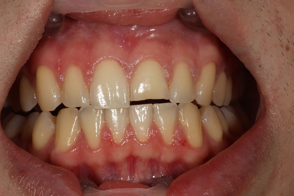
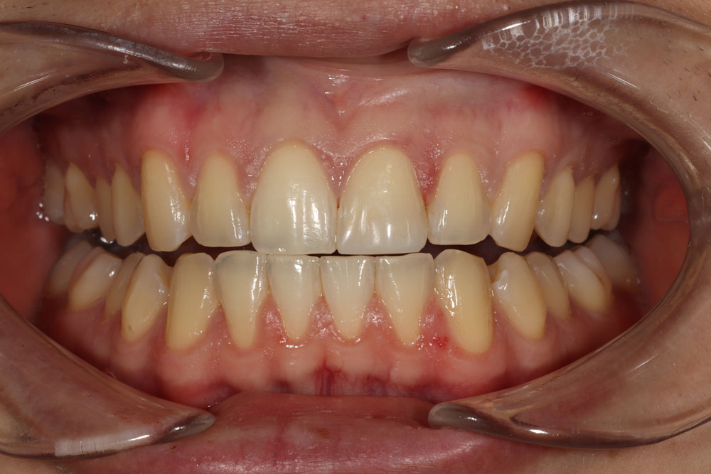
Composite Veneers
The patient slipped and broke his front tooth in the shower. A composite veneer was used to repair the damage.

Follow
Phone
Hours
Mon: 9am – 5pm
Tues: 10:30am – 6:30pm
Wed: Closed
Thur: 9am – 5pm
Fri: 9am – 5pm
Address
14982 Sand Canyon Ave
Irvine, CA 92618