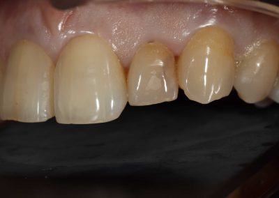
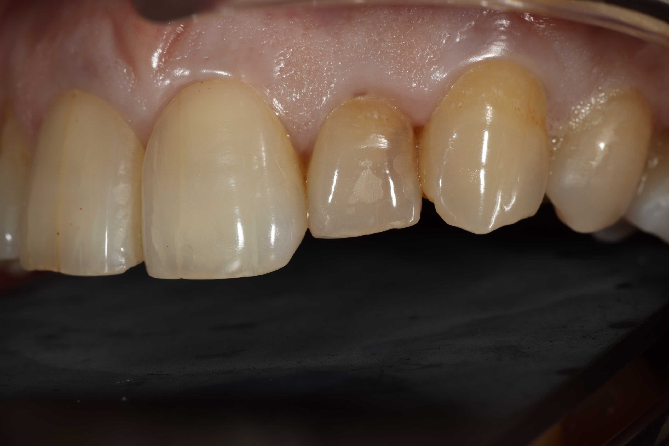
Composite Veneer
This patient was recently notified that she was winning a lifetime teaching award at her elementary school. The following week, the portrait photos were scheduled for the award. She was very self-conscious of her dark tooth #10, which had extensive decay.
We installed a composite veneer on this tooth, colored to match her surrounding teeth. The procedure was a success, and she was able to take the photo with a confident smile! For these and other cosmetic dentistry treatments in Irvine and Orange County, contact My Dentist Joe.

Follow
Phone
Hours
Mon: 9am – 5pm
Tues: 10:30am – 6:30pm
Wed: Closed
Thur: 9am – 5pm
Fri: 9am – 5pm
Address
14982 Sand Canyon Ave
Irvine, CA 92618