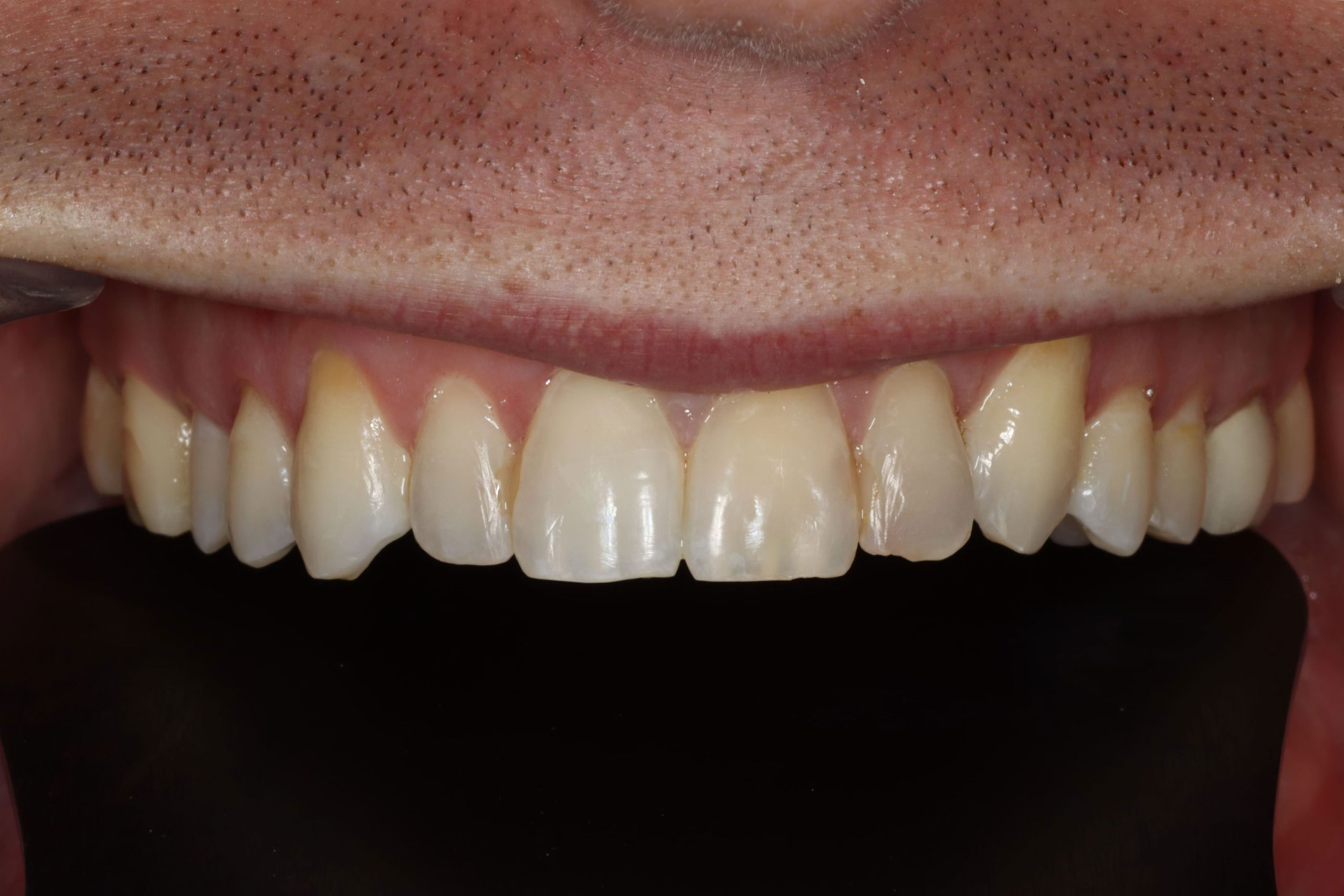
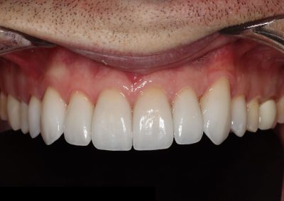
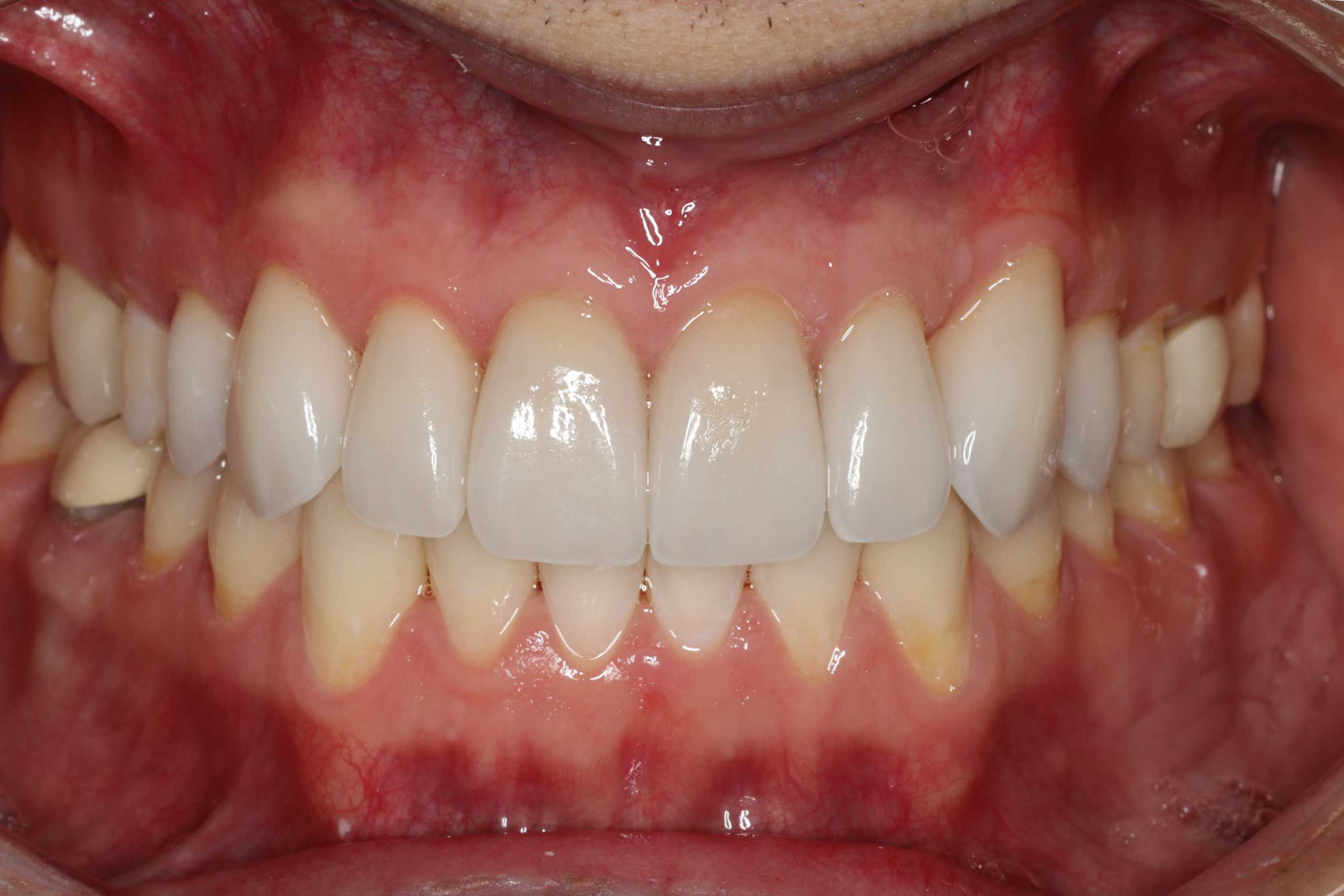
8 Crowns
With this patient’s wedding just around the corner, our Irvine dentist and team worked closely with him to refresh his smile, ensuring he felt confident and radiant on his special day. To achieve the most natural-looking outcome, we placed eight custom-designed crowns, carefully crafted to enhance the appearance of his teeth while maintaining a consistent balance with his facial features.

Follow
Phone
Hours
Mon: 9am – 5pm
Tues: 10:30am – 6:30pm
Wed: Closed
Thur: 9am – 5pm
Fri: 9am – 5pm
Address
14982 Sand Canyon Ave
Irvine, CA 92618