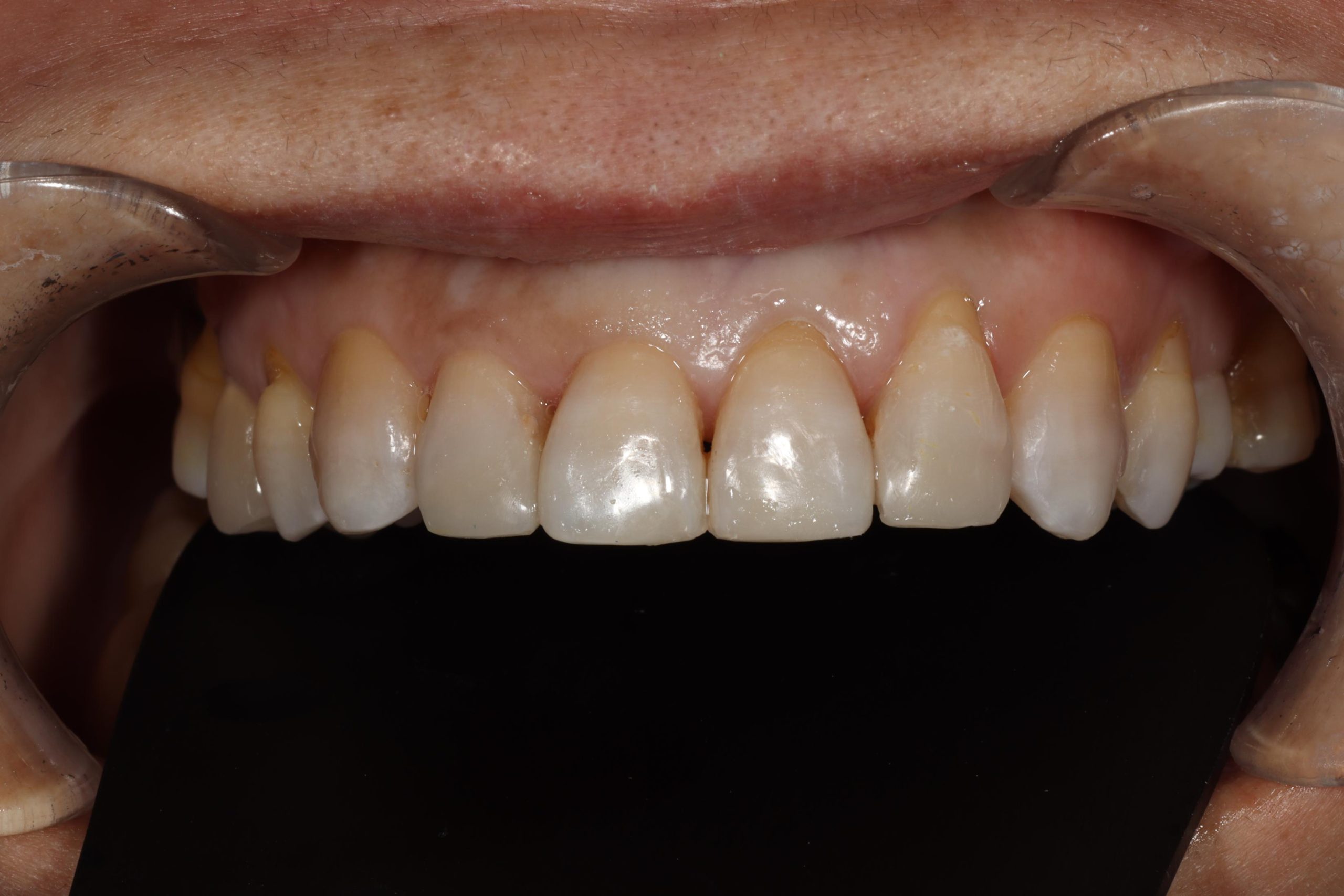
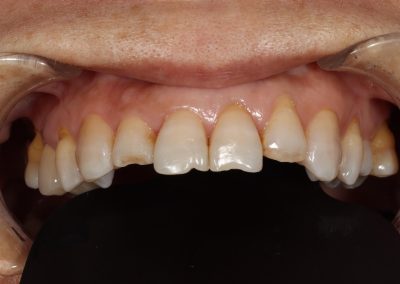
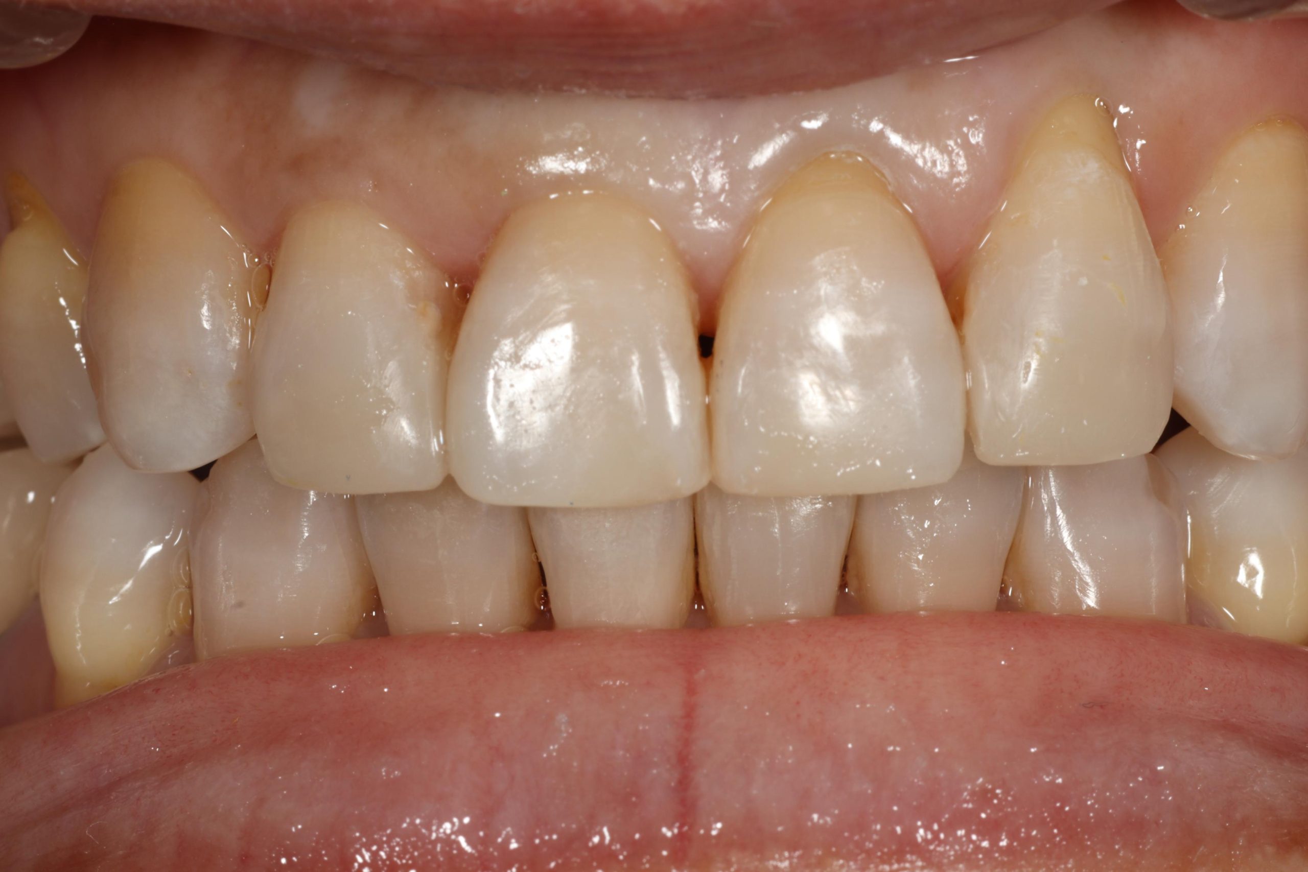
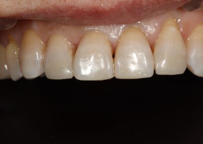
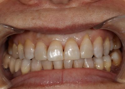
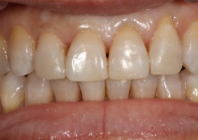
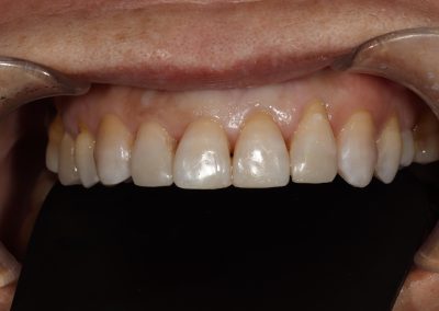
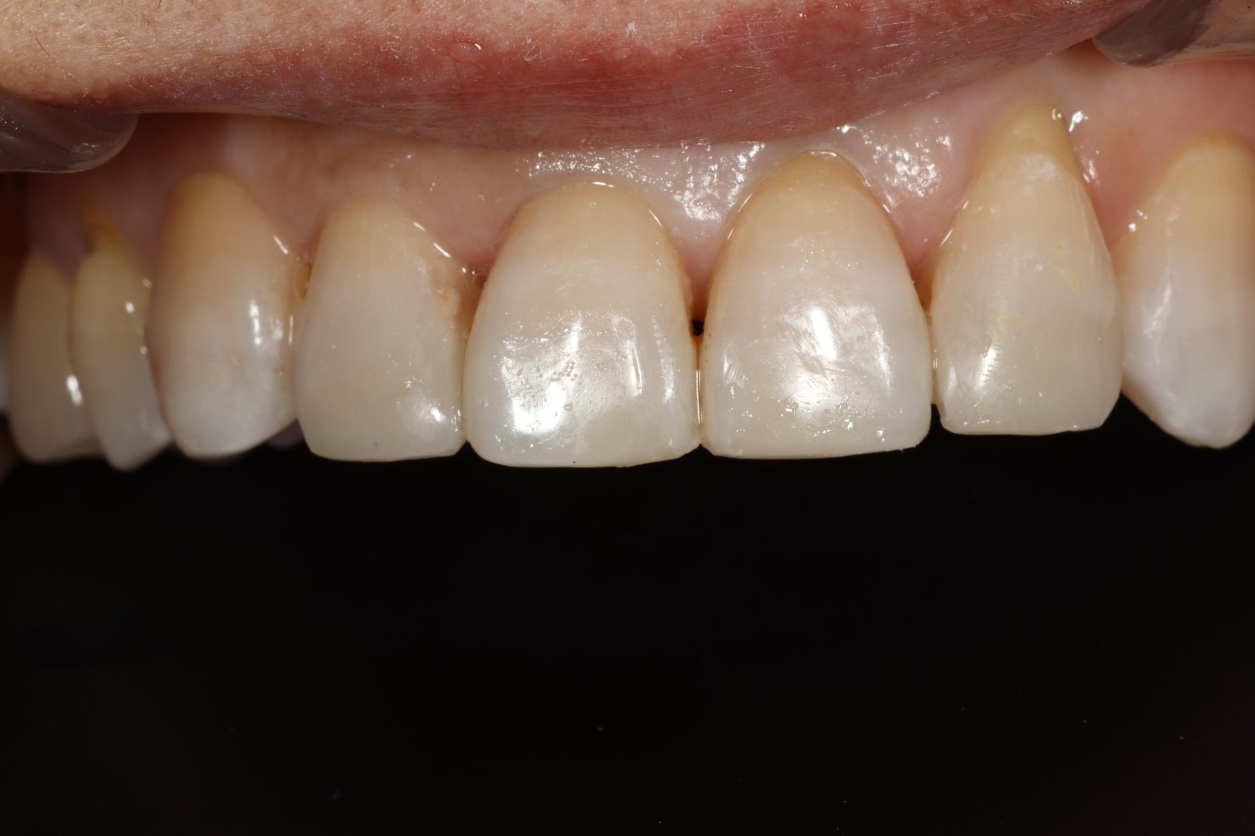
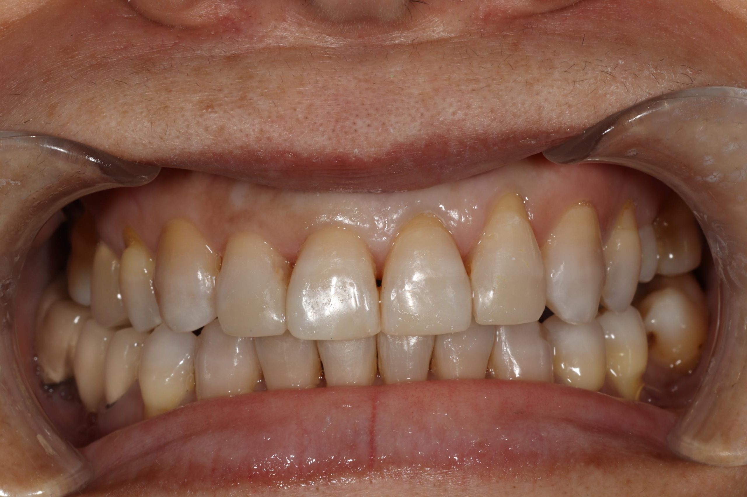
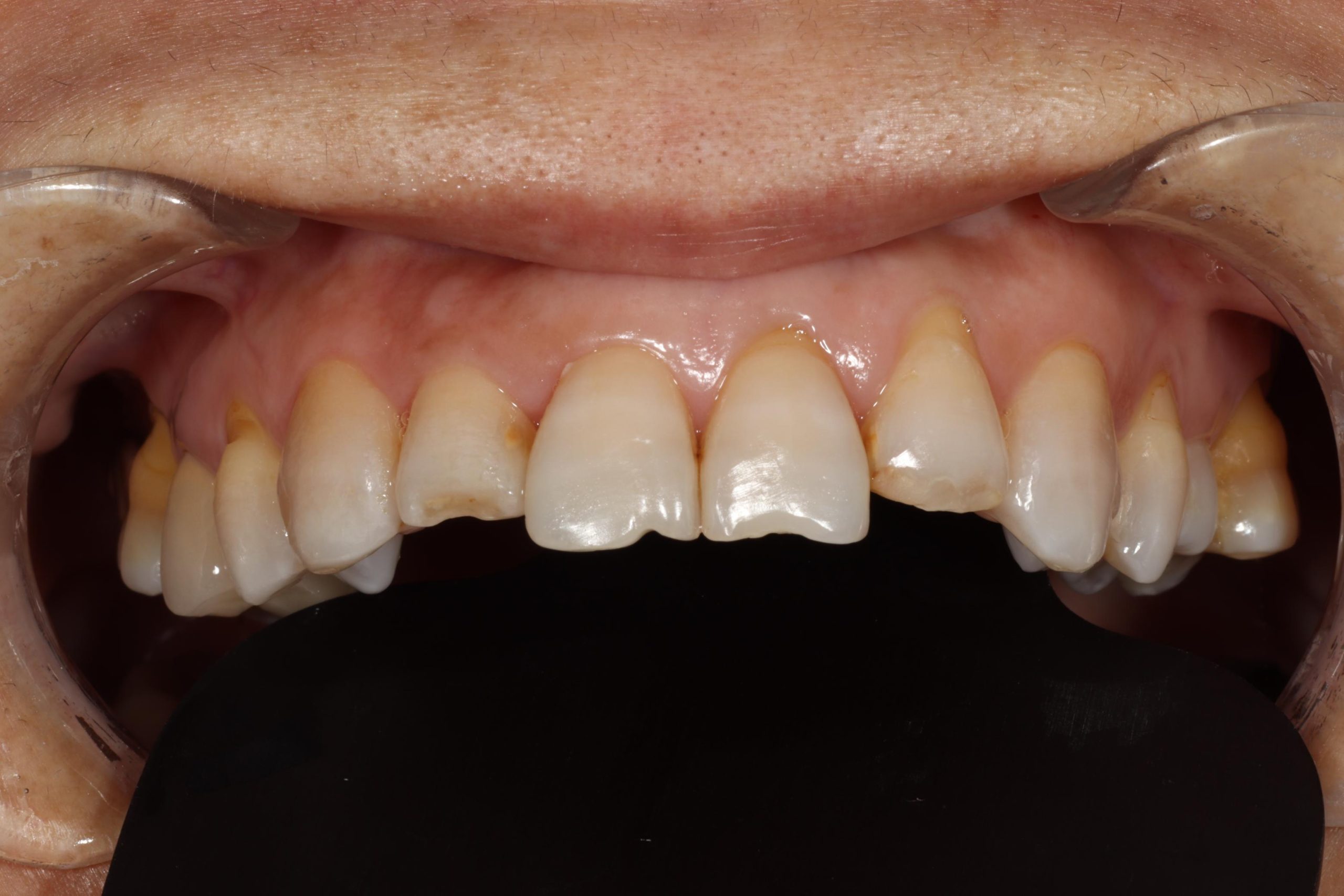
4 Composite Fillings
This patient finished Invisalign, but she wasn’t happy with the way her teeth looked. She did not want any tooth removal, so crowns and veneers were out of the question. We came up with the option of adding four composite fillings to her teeth and the results are stellar.
For cosmetic dentistry treatments like these in Orange County and Irvine, contact My Dentist Joe. We’re happy to work with you to achieve your aesthetic goals.

Follow
Phone
Hours
Mon: 9am – 5pm
Tues: 10:30am – 6:30pm
Wed: Closed
Thur: 9am – 5pm
Fri: 9am – 5pm
Address
14982 Sand Canyon Ave
Irvine, CA 92618